×
U
M
edic
Ventricular Septal Defect
Home
(current)
History
Cardiac Exam
Appearance
Blood Pressure
Carotid Pulse
Jugular Pulse
Precordial Impulses
Cardiac Ausc. Upper Right
Cardiac Ausc. Upper Left
Cardiac Ausc. Lower Left
Cardiac Ausc. Apex
Pulmonary Ausc.
Diagnosis
Summary
Labs
ECG
X Rays
Doppler -Echo
Catheterization
Treatment
Large VSD
Complications
Pathology
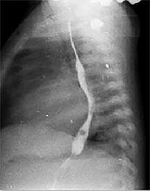
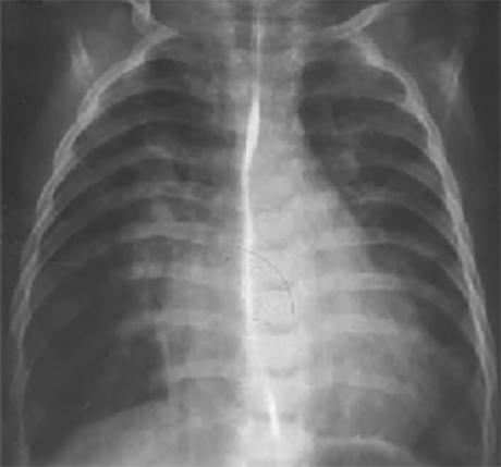
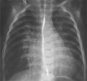
Labs - X Rays
Another Patient
PA and Lateral
Click on the xrays to enlarge them.
Choose the best interpretation of the chest X rays:
RV enlargement, dilated
pulmonary trunk, increased pulmonary
arterial vascularity
LA/biventricular enlargement,increased pulmonary arterialvascularity
LV enlargement, aortic dilatation
RV hypertrophy, smallpulmonary trunk, decreasedpulmonary arterialvascularity
Dilated pulmonary trunk, normal vascularity