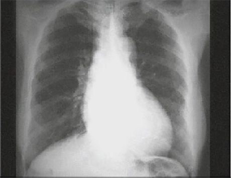
These chest X ray shows left ventricular enlargement and aortic dilation.
Left ventricular enlargement, or dilation, is suggested by the increased
cardiothoracic ratio, with the
apex of the cardiac silhouette displaced downward into the left.
Aortic dilation is demonstrated by the
widened superior mediastinal shadow bilaterally.
This chest X ray is consistent with chronic aortic regurgitation.