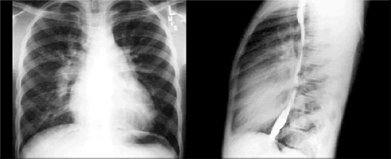
These chest X rays show right ventricular enlargement, a dilated pulmonary trunk and increased pulmonary arterial vascularity.
Right ventricular enlargement is suggested in the PA view by the
upturned apex and the minimally increased
cardiothoracic ratio.
It is suggested in the lateral view by obliteration of the
retrosternal air space.
The PA view shows dilation of the
pulmonary trunk, manifested by the convex density below the aortic knob.
Both views show prominence of the pulmonary artery, particularly well seen in the PA view as dilation of the
right pulmonary artery.
Increased pulmonary arterial vascularity is reflected further by prominent distal arterial markings. These chest X rays are consistent with a large atrial level left-to-right shunt, as in an atrial septal defect.