You are incorrect - the chest X rays in this patient demonstrate left atrial enlargement, biventricular enlargement and increased pulmonary arterial vascularity.

Your choice: Dilated Pulmonary Trunk, Normal Vascularity - PA and Lat

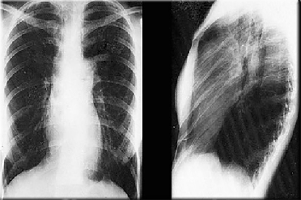
These chest X rays show a dilated pulmonary trunk and normal vascularity.
In this PA view, the dilated pulmonary trunk is demonstrated by the convex density below the aortic knob.
Note also that there is dilation of the left pulmonary artery, but that the remainder of the pulmonary arterial markings is normal. Heart size is also normal. These chest X rays are consistent with pulmonary valve stenosis.