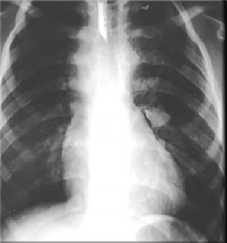
This chest X ray shows right ventricular hypertrophy, a small pulmonary trunk and decreased pulmonary arterial vascularity.
Right ventricular hypertrophy is suggested by the
upturned cardiac apex.
A small pulmonary trunk is suggested by the
absence of cardiac density beneath the aortic knob, resulting in a straight edge of the upper left cardiac silhouette.
Decreased pulmonary arterial vascularity is suggested by the small size of the central pulmonary arteries shadows and absence of distal arterial markings. This chest X ray is consistent with tetralogy of Fallot.