×
U
M
edic
Hypertrophic Obstructive Cardiomyopathy
Home
(current)
History
Cardiac Exam
Appearance
Blood Pressure
Carotid Pulse
Jugular Pulse
Precordial Impulses
Cardiac Ausc. Upper Left
Cardiac Ausc. Lower Left
Cardiac Ausc. Apex
Pulmonary Ausc.
Diagnosis
Summary
Labs
ECG
X Rays
Echo-Doppler
Catheterization
Treatment
Pathology
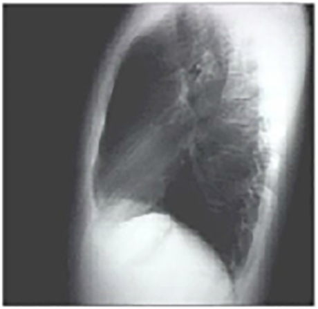
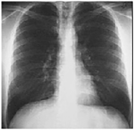
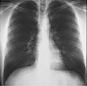
Labs - X Rays
PA and Lateral
Click on the xrays to enlarge them.
Choose the best interpretation of the chest X rays in our patient:
Left ventricular enlargementand a dilated aorta
Left ventricular enlargementand left atrial enlargement
Normal
Dilated ascending aorta
Prominent aortic knob