You are incorrect - the best interpretation of the chest X rays in our patient is that they are normal.

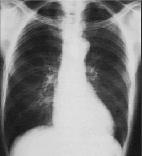
Your choice: Prominent aortic knob




This PA chest X ray shows an aortic knob that is prominent.
It is demonstrated by the greater than normal shadow created by the transverse aorta. Note that the cardiothoracic ratio is less than fifty percent, a normal finding. The pulmonary vasculature is normal. Although left ventricular mass may be increased, there is no evidence of ventricular dilatation.