You are incorrect - the best interpretation of the chest X rays in our patient is that they are normal.

Your choice: Dilated ascending aorta

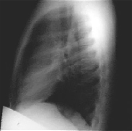
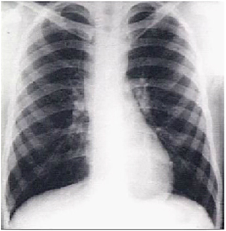
These chest X rays show a dilated ascending aorta.
The PA view demonstrates dilatation of the ascending portion of the aorta as evidenced by a prominent bulge in the right mediastinal shadow. Note that the heart size is normal, as reflected by a cardiothoracic ratio less than 50%.
The lateral view shows a dilated ascending aorta as evidenced by the shadow anterosuperior to the heart.