×
U
M
edic
Atrial Septal Defect
Home
(current)
History
Cardiac Exam
Appearance
Blood Pressure
Arterial Pulses
Jugular Pulse
Precordial Impulses
Cardiac Ausc. Upper Left
Cardiac Ausc. Lower Left
Cardiac Ausc. Apex
Pulmonary Ausc.
Diagnosis
Summary
Labs
ECG
Rhythm Strip
Chest X Rays
Echo-Doppler
Catheterization
Treatment
Pathology
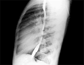
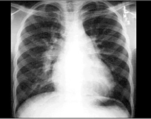
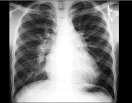
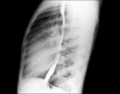
Labs - X Rays
PA and Lateral
Click on the Xrays to enlarge them.
Choose the best interpretation of the chest X rays:
Dilated pulmonary trunk
RV enlargement + dilated
pulmonary trunk +
increased pulmonary vascularity
RV enlargement +
LA enlargement
RV enlargement + small pulmonary trunk +
decreased pulmonary vascularity
Normal