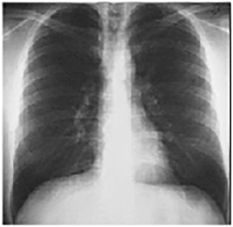
You are incorrect - the best interpretation of the chest X rays in our patient is right ventricular enlargement + dilated pulmonary trunk + increased pulmonary vascularity.

Your choice: Normal PA and Lat

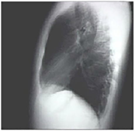
PA and Lateral

Lat

These chest X rays are normal. The PA view demonstrates no abnormalities of the bone structures, lung fields, or cardiac silhouette. The right and left heart borders are normal as are the great vessels superior to the cardiac silhouette. Note the cardiothoracic ratio is also normal, that is, it is less than 50%.

The lateral view is normal, with no evidence of chamber enlargement including the normal anterior shadow of the right ventricle and posteroinferior shadow of the left ventricle.