You are incorrect - the best interpretation of the chest X rays in our patient is right ventricular enlargement + dilated pulmonary trunk + increased pulmonary vascularity.

Your choice: Dilated pulmonary trunk

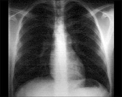
These chest X rays show a dilated pulmonary trunk. In this PA view, it is demonstrated by the convex density below the aortic knob. Note the normal pulmonary vascularity and heart size.