×
U
M
edic
Angina Pectoris
Home
(current)
History
Pathogenesis
Cardiac Exam
Appearance
Arterial Pulses
Jugular Pulse
Precordial Impulses
Cardiac Ausc. Upper Left
Cardiac Ausc. Apex
Pulmonary Ausc.
Summary
Labs
ECG
Chest X Ray
Blood Work
Exercise Test
Rhythm Strip
Treatment
Follow-Up
Angioplasty
Pathology
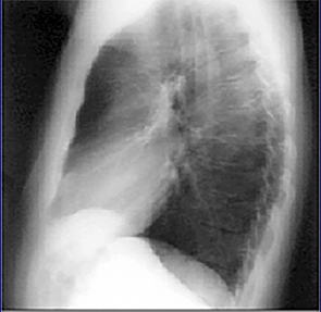
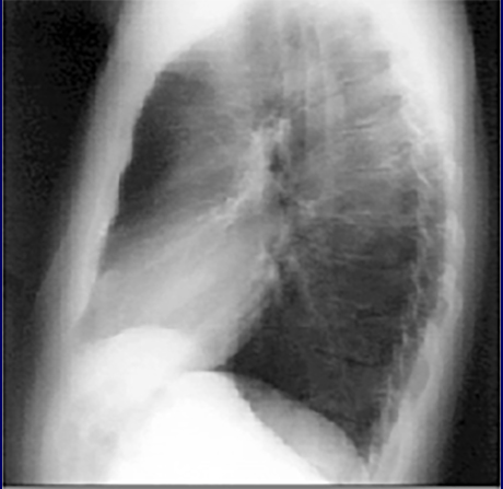
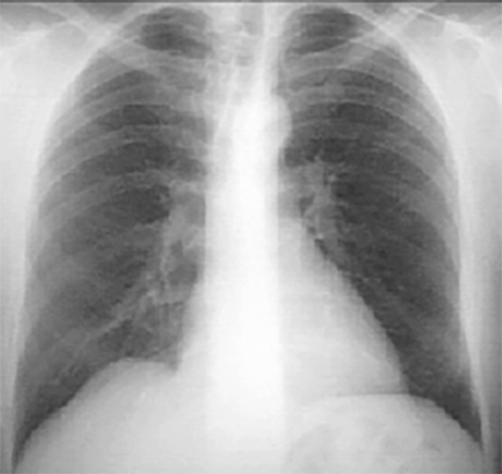
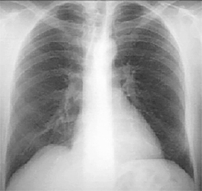
Labs - X Rays
PA and Lateral
Click on the Xrays to enlarge them.
Choose the best interpretation of the chest X rays:
Normal with straight back syndrome
Normal
Dilated ascending aorta
Normal with bilateral accessory rib
Calcified coronary arteries