You are incorrect - The best interpretation of the chest X rays in our patient is that they are normal.

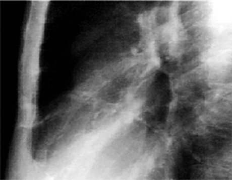
Your choice: Calcified coronary arteries
This chest X rays show calcified coronary arteries. The lateral view is often best for demonstrating calcium in the coronary vessels. Calcifications are much more common in the proximal parts of the vessel, usually within 2 cm of the root of the aorta and reflect coronary atherosclerosis. In this enlargement of the lateral view, the railroad track shadows of calcium are more easily seen.