You are incorrect - The best interpretation of the chest X rays in our patient is that they are normal.

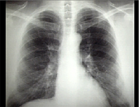
Your choice: Normal with bilateral accessory rib
This chest X ray shows bilateral accessory ribs. In this PA view, they are demonstrated by the bilateral small curved osseous structures that originate above the first rib posteriorly and extend anteriorly. In this view, they overlie the lung apices.