×
U
M
edic
Acute Mitral Regurgitation
Home
(current)
History
Cardiac Exam
Appearance
Blood Pressure
Arterial Pulses
Jugular Pulse
Precordial Impulses
Cardiac Ausc. Upper Left
Cardiac Ausc. Apex
Pulmonary Ausc.
Diagnosis
Summary
Acute AR
Labs
ECG
Chest X Rays
CCU-Addit. Rx
Echo-Doppler
Endocarditis
Hospital Course
Surgery
Pathology
Labs - X Rays
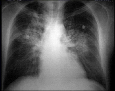
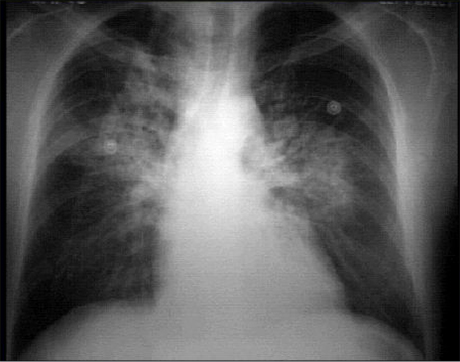
This is our patient's PA chest X ray
Click on the xray to enlarge it.
Choose the best interpretation of the chest X ray in our patient:
Increased pulmonary vascularity +dilated pulmonary trunk
Pulmonary infiltrate
Dilated left atrium
Pulmonary edema
Pleural effusion