You are incorrect - the best interpretation of the chest X ray in our patient is pulmonary edema with a normal heart size.

Your choice: Pleural effusion

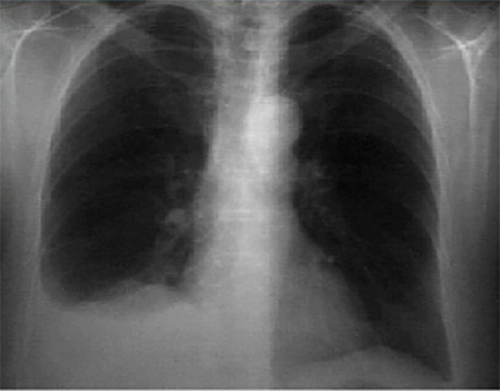
PA

This chest X ray shows a pleural effusion.

In this PA view, it is demonstrated by a radiopaque shadow at the right lung base with a curvilinear superior border that obliterates the right costophrenic angle. The left lung field is clear. There is a normal cardiac silhouette and heart size, as demonstrated by the normal cardiothoracic ratio.

The pulmonary vascularity, mediastinum and hilar areas are normal.