You are incorrect - the best interpretation of the chest X ray in our patient is pulmonary edema with a normal heart size.

Your choice: Dilated left atrium

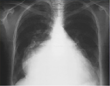
PA

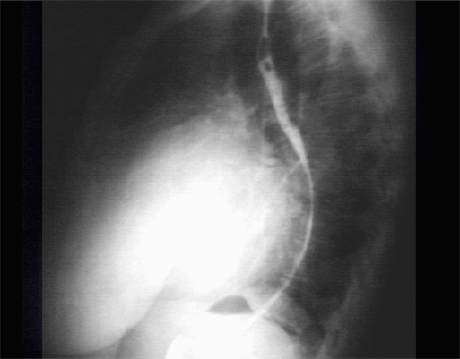
Lat

These chest X rays show marked left atrial enlargement.

In this PA view, the marked left atrial enlargement is demonstrated by the atrial appendage along the left heart border, and is so massive, that it also comprises the right heart border.

Such a giant left atrium may be seen in severe, chronic mitral regurgitation.

The lateral view with barium swallow, demonstrates marked posterior displacement of the esophagus by the giant left atrium.