×
U
M
edic
Anterior Wall Myocardial Infarction (AMI)
Home
(current)
Prehosp/ED
History
Initial ECG
Pathogenesis
Prehospital Exam/Management
Physical Exam
Intro, App & BP
Arterial Pulses
Venous Pulse
Precordial Impulses
ULSE Auscultation
Apex Auscultation
Pulmonary Ausc.
Summary & Course
Labs
X Rays
ECG
Summ/Echo
Summary
Echo-Doppler
Cath/Rx
Cath/Angio
Discharge
Pathology
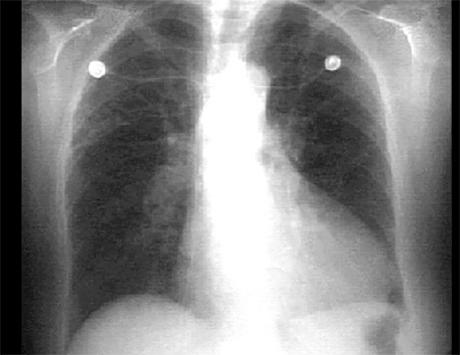
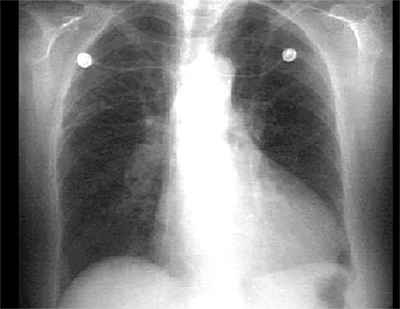
X Rays
PA and Lateral
Click on the xray to enlarge it.
Choose the best interpretation of the chest X ray:
Calcified coronary arteries
Normal
Pleural effusion
Pulmonary venous congestion
Left ventricular enlargement and dilated aorta