You are incorrect - the best interpretation of the chest X ray in our patient is pulmonary venous congestion.

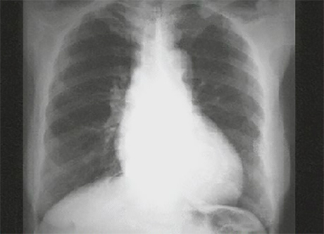
Your choice: Left ventricular enlargement and dilated aorta PA


This chest X ray show left ventricular enlargement and a dilated aorta. This PA view demonstrates cardiomegaly, as evidenced by a cardiothoracic ratio greater than fifty percent. Note also the increased inferolateral cardiac border that is consistent with left ventricular enlargement due to volume overload. The ascending, transverse and descending aortic shadows are also prominent.