You are incorrect - the best interpretation of the chest X ray in our patient is pulmonary venous congestion.

Your choice: Pleural Effusion PA

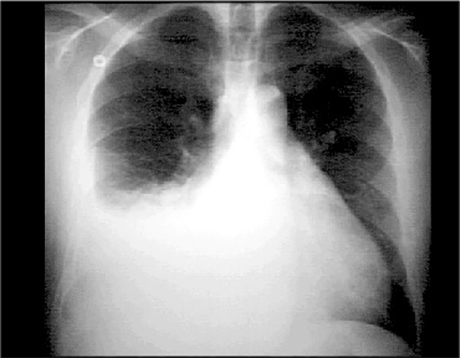
This chest X ray shows a pleural effusion. In this PA view, it is demonstrated by a large opaque shadow with a concave upper border that obscures the diaphragm, heart border and half of the lung field on the right side. The left side shows no evidence of effusion. Note the straightening of the left heart border that suggests left atrial enlargement.