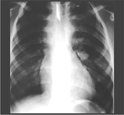
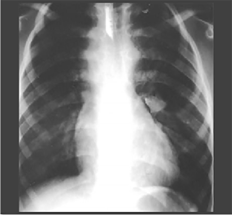
This is the PA chest X ray of our patient. Note the presence of barium in the esophagus in this and subsequent X rays in this program. While no longer used routinely, a barium swallow can reveal pathologic changes. It is presented in this program in the context of teaching anatomic relationships.
Our Patient's PA
Click on the xray to enlarge it.