You are incorrect - the best interpretation of the chest X ray in our patient is RV enlargement + small pulmonary trunk + ↓ pulmonary arterial vascularity + right Ao arch.

Your choice: BVE + obscure pulmonary trunk + ↑ pulmonary vascularity + right Ao arch

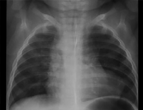
This chest X ray taken during a barium swallow shows right biventricular enlargement, obscure pulmonary trunk, increased pulmonary vascularity and a right aortic arch.
Biventricular enlargement is reflected by the large cardiac shadow extending both leftward and rightward. The pulmonary trunk shadow is not clearly seen, but is not obviously absent. Increased pulmonary arterial vascularity is reflected by dilated central pulmonary arteries and prominent distal arterial vascular markings. A right aortic arch is suggested by a shift of the tracheal air shadow to the left, caused by the arch passing to its right, as well as aortic knob and descending aorta seen at the upper right mediastinal shadow.