×
U
M
edic
Primary Pulmonary Hypertension
Home
(current)
History
Cardiac Exam
Appearance
Blood Pressure
Arterial Pulses
Jugular Pulse
Precordial Impulses
Cardiac Ausc. Upper Right
Cardiac Ausc. Upper Left
Cardiac Ausc. Lower Left
Cardiac Ausc. Apex
Pulmonary Ausc.
Dx / Summary
Etiology
Labs
ECG
Chest X Rays
Echo-Doppler
Pulmonary Studies
Catheterization
Treatment
Pathology
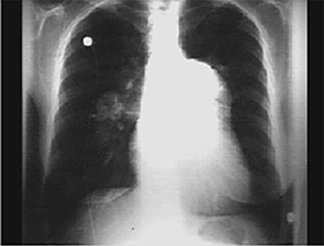
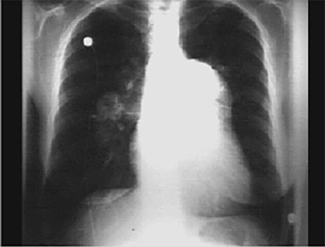
Labs - X Rays
PA and Lateral
Click on the Xrays to enlarge them.
Choose the best interpretation of the chest X rays:
RV enlargement + ↓ pulmonary trunk + ↓ pulmonary vascularity
RV enlargement + ↑ central pulmonary
arteries + ↓ peripheral markings
RV enlargement + dilated pulmonary
trunk + ↑ pulmonary vascularity
RV enlargement +
left atrial enlargement
Bilateral pulmonary fibrosis +
mild cardiomegaly