U
M
edic
Primary Pulmonary Hypertension
Home
(current)
History
Cardiac Exam
Appearance
Blood Pressure
Arterial Pulses
Jugular Pulse
Precordial Impulses
Cardiac Ausc. Upper Right
Cardiac Ausc. Upper Left
Cardiac Ausc. Lower Left
Cardiac Ausc. Apex
Pulmonary Ausc.
Dx / Summary
Etiology
Labs
ECG
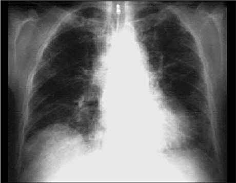
Chest X Rays
Echo-Doppler
Pulmonary Studies
Catheterization
Treatment
Pathology
Labs - X Rays
You are
incorrect
- the best interpretation of the chest X rays in our patient is right ventricular enlargement, prominent pulmonary arteries and decreased peripheral markings.
Your choice:
Bilateral pulmonary fibrosis and mild cardiomegaly
This chest X ray shows bilateral pulmonary fibrosis and mild cardiomegaly. This PA view demonstrates
increased diffuse bilateral interstitial pulmonary markings.
Note also that the
central pulmonary arteries
are prominent, compatible with pulmonary hypertension. There is mild cardiomegaly, as evidenced by a slightly increased
cardiothoracic ratio.
Note the
tracheostomy
too.
Back to question
Discussion