×
U
M
edic
Normal
Home
(current)
History
Cardiac Exam
Introduction
Appearance
Blood Pressure
Arterial Pulse
CVP
Jugular Pulse
Precordial Impulses
Auscultation Intro
Cardiac Ausc. URSE
Cardiac Ausc. ULSE
Cardiac Ausc. LLSE
Cardiac Ausc. Apex
Pulmonary Ausc.
Diagnosis
Summary
Labs
ECG
Chest X Ray
Echo-Doppler
Catheterization
Treatment
Pathology
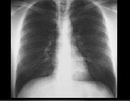
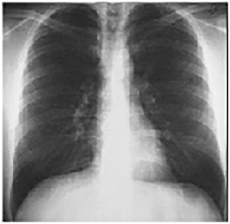
Labs - X Rays
PA and Lateral
Click on the Xrays to enlarge them.
Choose the best interpretation of the chest X rays:
Straight back
Entirely normal
Rib notching
Right-sided aortic arch
Dextrocardia