You are incorrect - our patient's chest X rays are entirely normal.

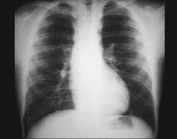
Your choice: Rib notching
Rib notching is typically seen in patients with coarctation of the aorta, where collateral circulation in the intercostal arteries causes them to become large and tortuous and erode the adjacent inferior rib margins. This produces a scalloped or notched appearance and illustrates the importance of evaluating the chest X ray for bone abnormalities.

In this patient's chest X ray, rib notching is well seen in the posterior fourth to seventh ribs.