×
U
M
edic
Cardiomyopathy
Home
(current)
History
Cardiac Exam
Appearance
Blood Pressure
Carotid Pulse
Jugular Pulse
Precordial Impulses
Cardiac Ausc. Upper Left
Cardiac Ausc. Lower Left
Cardiac Ausc. Apex
Pulmonary Ausc.
Diagnosis
Summary
Labs
ECG
Rhythm Strip
X Rays
Echo-Doppler
Catheterization
Failure
Pathophysiology
Drug Rx
Treatment
Pathology
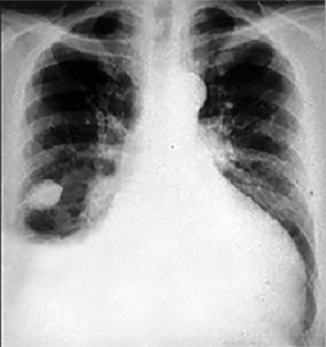
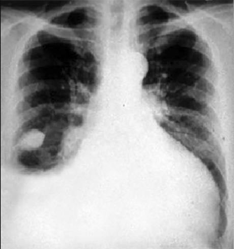
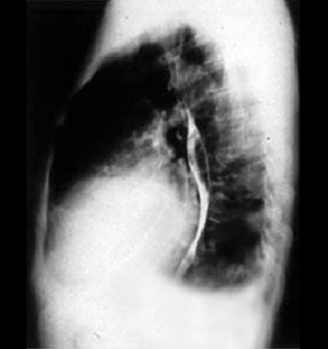
Labs - X Rays
Our Patient's PA and Lateral
Click on the xrays to enlarge them.
Choose the best interpretation of the chest X rays:
Pulmonary lesion
Left ventricular enlargement and dilated aorta
Pericardial effusion
Cardiomegaly, pulmonary venous congestion & pleural effusion
Left ventricular enlargement and left atrial enlargement