You are incorrect - the best interpretation of the chest X rays in our patient is cardiomegaly, pulmonary venous congestion and a pleural effusion.

Your choice: Left ventricular enlargement and dilated aorta PA and Lat

Left Ventricular Enlargement + Dilated Aorta PA and Lat


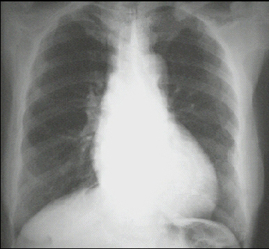
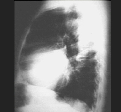
These chest X rays show left ventricular enlargement and a dilated aorta The PA view demonstrates cardiomegaly, as evidenced by a cardiothoracic ratio greater than 50%. Note also the increased inferolateral cardiac border that is consistent with ventricular enlargement due to volume overload. The ascending, transverse, and descending aortic shadows are also prominent. The lateral view shows left ventricular enlargement, as evidenced by posterior displacement of the left ventricular shadow.