×
U
M
edic
Mitral Valve Prolapse
Home
(current)
History
Cardiac Exam
Cardiac Exam
Blood Pressure
Arterial Pulse
Jugular Pulse
Precordial Impulses
Cardiac Ausc. Introduction
Cardiac Ausc. Apex
Pulmonary Ausc.
Diagnosis
Summary
Labs
ECG
Rhythm
Chest X Ray
Echo-Doppler
Catheterization
Complications
Treatment
Follow Up
Pathology
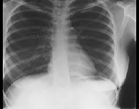
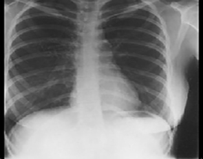
Labs - X Rays
PA and Lateral
Click on the xrays to enlarge them.
Choose the best interpretation of the chest X rays:
Normal
Normal heart & lungs
with straightened spine
Normal heart & lungs with scoliosis
Normal heart & lungs
with pectus excavatum
Normal heart & lungs with kyphosis