You are incorrect - the best interpretation of the chest X rays in our patient is normal heart and lungs with straightened spine.

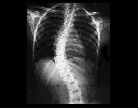
Your choice: Scoliosis


This chest X ray shows scoliosis. In this PA view, the primary curve is in the mid and lower thoracic region and, as shown here, is more commonly convex to the patient's right than to the left. The right heart border is superimposed upon the vertebral column so that its outline is obscured. This makes the heart appear enlarged.