Left atrial enlargement & right ventricular enlargement


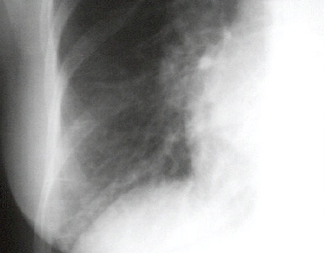
Further review of the PA view demonstrates additional important findings.
In this enlargement of the hilar region, engorgement of the upper lobe veins is well seen, a finding typical of pulmonary venous hypertension.
In this enlargement of the right lower lung field, so-called Kerley B lines are seen. They are due to lymphatic engorgement, and imply a significantly elevated left atrial pressure.