U
M
edic
Mitral Stenosis
Home
(current)
History
Cardiac Exam
Appearance & BP
Carotid Pulses
Peripheral Pulses
Jugular Pulse
Precordial Impulse
Cardiac Ausc. Upper Left
Cardiac Ausc. Lower Left
Cardiac Ausc. Apex
Pulmonary Ausc.
Diagnosis
Summary
Labs
ECG and Rhythm
Chest X Ray
Echo-Doppler
Catheterization
Treatment
Pathology
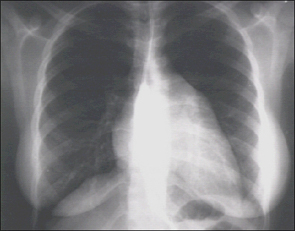
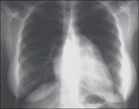
Labs - X Rays
PA and Lateral
These are the PA and Lateral views of our patient's X rays for your intepretation
Click on the xrays to enlarge them.
Choose the best interpretation of the chest X rays:
Left ventricular enlargement &
dilated aorta
Left atrial enlargement & right ventricular enlargement
Marked left atrial enlargement
Calcified mitral valve annulus
Right ventricular enlargement & markedly dilated pulmonary artery