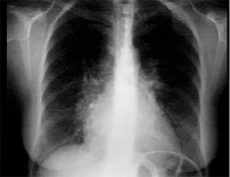
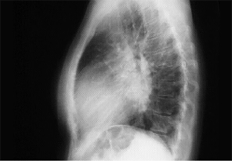
These chest X rays show right ventricular enlargement and left atrial enlargement.
The PA view demonstrates left atrial enlargement reflected by the
double contour within the heart border, an elevated
left mainstem bronchus and an enlarged
left atrial appendage causing straightening of the left heard border. Note also that the
cardiothoracic ratio is greater than 50%, reflecting cardiomegaly.
In the lateral view,
left atrial enlargement is further reflected by the prominent posterior left atrial shadow. Right ventricular enlargement is best seen in this view and is manifested by obliteration of the retrosternal air space.