×
U
M
edic
Mitral Regurgitation
Home
(current)
History
Cardiac Exam
Appearance & BP
Arterial Pulse
Jugular Pulse
Precordial Impulses
Cardiac Ausc. Upper Left
Cardiac Ausc. Apex
Pulmonary Ausc.
Diagnosis
Diagnosis
Chronicity
Severity
Summary
Labs
ECG & Rhythm
Chest X Ray
Echo
Catheterization
Treatment
Pathology
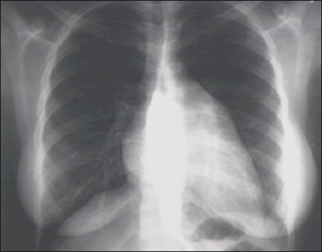
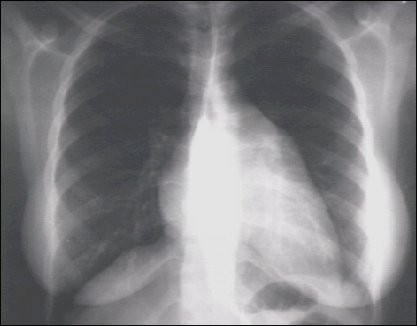
Labs - X Rays
PA and Lateral
Click on the xrays to enlarge them.
Choose the best interpretation of the chest X rays:
Left atrial enlargement and right ventricular enlargement
Left ventricular enlargement and pulmonary congestion
Calcified mitral annulus
Left ventricular enlargement and dilated aorta
Left ventricular enlargement and left atrial enlargement