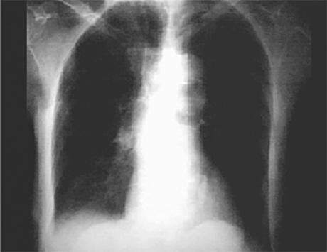
You are incorrect - our patient's chest X rays show left ventricular enlargement + left atrial enlargement.

Your choice: Calcified Mitral Annulus PA and Lat

PA view


Lateral view



In this overpenetrated PA view, the calcified mitral valve annulus is demonstrated curvilinear density adjacent to the thoracic spine and within the cardiovascular silouette.

The lateral view is often best for seeing a calcified mitral valve annulus. The J-shaped density is well seen here, as it does not overlap bony structures.