×
U
M
edic
Hypertension
Home
(current)
History
Cardiac Exam
Appearance
Blood Pressure
Optic Fundus
Carotid Pulse
Jugular Pulse
Precordial Impulses
Cardiac Ausc. Upper Right
Cardiac Ausc. Upper Left
Carotid Ausc.
Cardiac Ausc. Apex
Pulmonary Ausc.
Abdomen
Diagnosis
Summary
Labs
Labs Intro
ECG
Chest X Ray
Echo-Doppler
Catheterization
Organ Damage
Treatment
Drugs in Rx
Pathology
Labs - X Rays
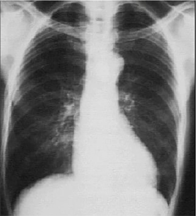
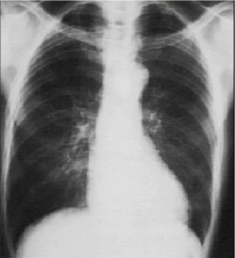
Our Patient's PA
Click on the xray to enlarge it.
Not routine exam in hypertension
Choose the best interpretation of the chest X ray:
Left ventricular enlargement
and left atrial enlargement
Prominent aortic knob
Rib notching
Dilated ascending aorta
Left ventricular enlargement and a dilated aorta