You are incorrect - the best interpretation of the chest X ray in our patient is a prominent aortic knob.

Your choice: Dilated ascending aorta PA




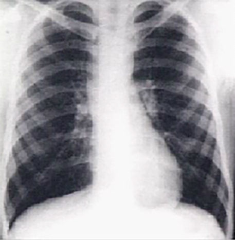
This PA chest X ray shows a dilated ascending aorta. It demonstrated dilatation of the ascending portion of the aorta, as evidenced by a prominent bulge in the right mediastinal shadow. Note that the heart size is normal, as reflected by a cardiothoracic ratio less than fifty percent.