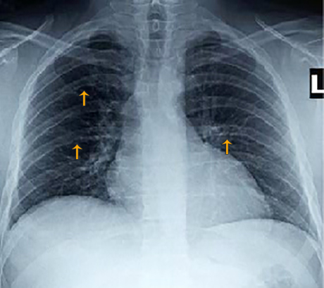
Chest X rays provide additional useful information in our patient, particularly prior to considering treatment of his abnormality.

Our Patient's PA

PA Xray

Click on the xray to enlarge it.

Choose the best interpretation of the abnormality indicated by the arrows in our patient's chest X ray: