U
M
edic
Coarctation of the Aorta
Home
(current)
History
Cardiac Exam
Appearance
Blood Pressure
Arterial Pulses
Jugular Pulse
Precordial Impulses
Cardiac Ausc. Upper Right
Cardiac Ausc. Upper Left
Cardiac Ausc. Apex
Pulmonary Ausc.
Diagnosis
Summary
Labs
ECG
X Rays
Doppler -Echo
Catheterization
Treatment
Considerations
Pathology
Labs - X Rays
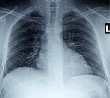
Rib Notching - PA
This chest X ray shows rib notching. In the PA view, it is demonstrated by
grooves in inferior edge of ribs.
Back to question
Next section