×
U
M
edic
Aortic Regurgitation
Home
(current)
History
Cardiac Exam
Appearance
Blood Pressure
Arterial Pulse
Peripheral Pulses
Jugular Pulse
Precordial Impulses
Cardiac Ausc. Upper Right
Cardiac Ausc. Lower left
Cardiac Ausc. Apex
Pulmonary Ausc.
Diagnosis
Summary
Labs
ECG
Chest X Ray
Echo-Doppler
Catheterization
Treatment
Pathology
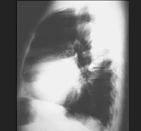
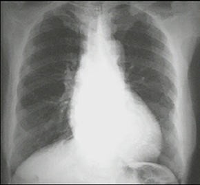
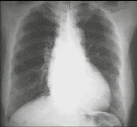
Labs - X Rays
PA and Lateral
Click on the xrays to enlarge them.
Choose the best interpretation of the chest X rays:
Left ventricular enlargement + left atrial enlargement
Left ventricular enlargement + dilated aorta
Marked left atrial enlargement
Calcified aortic valve
Calcified left ventricular aneurysm