U
M
edic
Aortic Regurgitation
Home
(current)
History
Cardiac Exam
Appearance
Blood Pressure
Arterial Pulse
Peripheral Pulses
Jugular Pulse
Precordial Impulses
Cardiac Ausc. Upper Right
Cardiac Ausc. Lower left
Cardiac Ausc. Apex
Pulmonary Ausc.
Diagnosis
Summary
Labs
ECG
Chest X Ray
Echo-Doppler
Catheterization
Treatment
Pathology
Labs - X Rays
You are
incorrect
- the best interpretation of the chest X rays in our patient is left ventricular enlargement and a dilated ascending aorta.
Your choice:
Calcified aortic valve
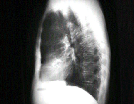
Lateral
This chest X ray shows a
calcified aortic valve
. The lateral view is often best for demonstrating such a finding.
Back to question
Discussion