You are incorrect - the best interpretation of the chest X rays in this patient is pericardial calcification.

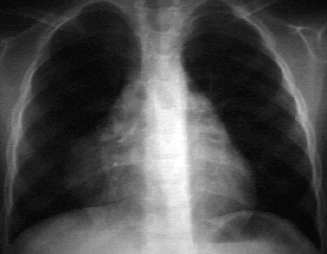
Your choice: Pericardial cyst

This chest X ray demonstrates a pericardial cyst. This PA view shows apparent prominence of the right heart border. Careful inspection shows a smooth, round, soft tissue density distinct from and adjacent to the right heart border. The typical appearance of a benign pericardial cyst.

This lateral view demonstrates the pericardial cyst as well. It appears as a double density over the heart shadow.