×
U
M
edic
Acute Pericarditis
Home
(current)
History
Cardiac Exam
Appearance
Blood Pressure
Arterial Pulse
Peripheral Pulses
Jugular Pulse
Precordial Impulses
Cardiac Ausc. Apex
Cardiac Ausc. Lower left
Pulmonary Ausc.
Summary
Complications
Etiology
Labs
ECG
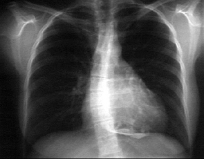
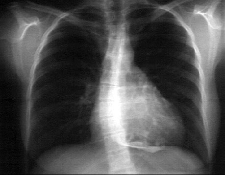
Chest X Ray
Doppler Echo
Catheterization
Treatment
Pathology
Labs - X Rays
Another Patient's
PA and Lateral
Click on the X rays to enlarge them.
Choose the best interpretation of the chest X rays:
Pericardial effusion
Normal
Lung mass and pericardial effusion
Pericardial calcification
Pericardial cyst